Chondrome rodens
À propos d’un cas clinique
Anamnèse
Un chien malinois mâle de 9 ans est référé en consultation pour l’exploration d’une masse ferme sur le haut du crâne (photo 1).
Présente depuis des mois, elle a subitement grossi en 3 semaines. Une biopsie réalisée la semaine avant la consultation par le vétérinaire traitant a mis en évidence un chondrome multilobulaire. L’examen général est par ailleurs normal. La palpation de la masse n’est pas douloureuse.

Photo 1 : Aspect macroscopique de la tumeur. L’animal a été tondu pour l’intervention chirurgicale.
Examens complémentaires
Un bilan sanguin complet est réalisé (NFS, biochimie, ionogramme, temps de coagulation) et ne montre aucune anomalie.
Un bilan tomodensitométrique est entrepris.
Le crâne et le thorax sont examinés pour déterminer respectivement l’envahissement local du calvarium et la présence de métastases pulmonaires.
- Rostralement, la masse recouvre les sinus frontaux dorsalement et les envahit (photo 2).
- Caudalement, le tissu hyperdense après l’injection de produit de contraste s’étend jusqu’au milieu de la crête occipitale.
- Latéralement, la masse déborde de façon plus importante du côté gauche avec un envahissement du processus zygomatique de l’os frontal et s’étend 1 cm en arrière de l’œil (photo 3).

Photo 2 : Aspect tomodensitométrique de la masse : notez l’envahissement des sinus frontaux (étoiles) et la latéralisation à gauche (flèche).
Aucune compression du cerveau n’est visible au scanner.
Les images thoraciques ne mettent pas en évidence de métastase à distance.

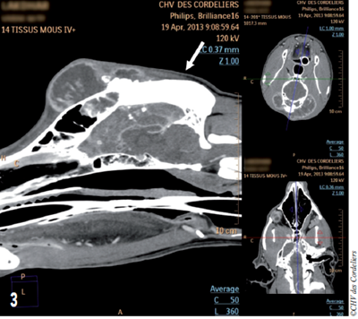
Photo 3 : Aspect tomodensitométrique de la masse en vue sagittale : la masse s’étend très caudalement (flèche).
Traitement
Un traitement chirurgical est considéré compte tenu de la vitesse d’accroissement de la tumeur et du risque de compression cérébrale.
L’animal est préparé pour la chirurgie et positionné en décubitus sternal (photo 4).

Photo 4 : Vue peropératoire : l’animal est positionné en décubitus ventral.
Une crâniotomie est réalisée en prenant des marges de 5 à 10 mm autour de la masse (photo 5).

Photo 5 : Délimitation de la craniotomie (en rouge) sur la vue tomodensitométrique préopératoire.
Les sinus frontaux sont ouverts puis les os frontaux, pariétaux et occipital sont coupés pour permettre la résection de la tumeur (photos 6a et 6b).

Photos 6a et 6b : Les sinus frontaux et os frontaux, pariétaux et occipital ont été découpés à la fraise et à la scie oscillante (a), permettant la résection en bloc de la tumeur (b).
Afin de prétendre à des marges saines, le processus zygomatique de l’os frontal gauche est retiré. Le cerveau est alors exposé (photo 7).

Photo 7 : L’encéphale est exposé ; L’hémisphère droit est ici recouvert des méninges (étoile) ; elles seront réséquées pour analyse anatomo-pathologiques (marges profondes).
L’hémostase est réalisée grâce à des compresses de collagène (photo 8).

Photo 8 : Le cerveau est temporairement couvert par une compresse de collagène (Pangen®) afin d’assurer l’hémostase.
Une greffe de fascia temporal est utilisée pour recouvrir le cerveau et fixée aux méninges des bords de la crâniotomie (photo 9).
Les muscles temporaux sont refermés puis le tissu sous-cutané et la peau sont suturés classiquement.

Photos 9a—c : Le fascia temporal (étoile) est disséqué (a), isolé (b) puis suturé pour recouvrir l’encéphale, sa face superficielle étant placée contre le cerveau (c)
Une acquisition scanner est réalisée avant de placer l’animal en réveil (photo 10).

Photos 10a et 10b : Images tomodensitométriques en post-opératoire immédiat en vue sagittale (a) et en vue frontale (b)
L’animal est gardé sous sédation pendant 6 heures avec une perfusion de chlorhydrate de Fentanyl (dose de charge à 2 μg / kg / h IV) pour permettre un réveil progressif et calme.
Suivi post-opératoire
L’intervention n’a « malheureusement » pas modifié le caractère agressif du chien qui montrait déjà les dents quelques heures après la chirurgie (photo 11).

Photo 11 – Le comportement de l’animal en hospitalisation ne permet pas de réaliser de soin sans anesthésie générale.
Compte-tenu de son agressivité et d’une très bonne récupération, l’animal est sorti après 24 heures d’hospitalisation, en marchant.
Une antibiothérapie est instaurée (amoxicilline/acide clavulanique 20 mg / kg BID) pour 3 semaines.
L’antalgie est assurée par du carprofène (4 mg / kg PO SID), du tramadol (5 mg / kg PO TID) et de la gabapentine (2 mg / kg TID).
Au contrôle téléphonique à 1 mois, les propriétaires décrivent un retour à une activité normale sans trouble neurologique rapporté.
L’examen histopathologique de la tumeur confirme le chondrome rodens et souligne la présence d’éléments en faveur d’une transformation maligne vers un chondrosarcome multilobulaire (perte focale d’organisation lobulaire, plages hémorragiques, index mitotique modéré à élevé). Les marges profondes sont saines mais la tumeur est en contact étroit avec les marges latérales. Le risque de récidive locale n’est donc pas négligeable.