Adénocarcinome prostatique : traitement chirurgical
Minou est un chat européen mâle entier de 12 ans et demi. Il est présenté pour une dyschésie et une dysurie évoluant depuis deux semaines. Son appétit et sa prise de boisson sont diminués. Une échographie abdominale effectuée chez son vétérinaire ne révèle pas d’anomalie.
Examen clinique
En consultation, Minou est en bon état général. Son examen clinique est sans anomalie notable. Sa vessie est de taille moyenne et souple.
Hypothèses diagnostiques
L’origine de la dyschésie peut être un phénomène obstructif intra-luminal (tumeur colo-rectale, hypomotilité d’origine comportementale ou alimentaire avec des selles sèches et compactes) ou extra-luminal (hernie périnéale, affection des glandes anales, tumeur pelvienne, rétrécissement post-traumatique).
La dysurie avec une vessie de taille normale peut orienter vers une cystite, une infection bactérienne, une sténose, des lithiases, un traumatisme ou une tumeur.
Les hypothèses diagnostiques permettant d’expliquer conjointement une dyschésie et une dysurie sont donc un trouble tumoral ou traumatique. Une affection neurologique type syndrome queue de cheval ne peut être exclue mais cette éventualité reste rare.
Il est à noter que la dysurie chez le Chat peut provoquer des allers retours à la litière avec un patient qui se met en position. Elle peut amener le propriétaire à croire à une dyschésie. Une affection uniquement urinaire pourrait donc amener à cette présentation anamnestico-clinique.
Examens complémentaires
Les analyses sanguines effectuées (biochimie standard, ionogramme, numération formule) sont sans anomalie et excluent un désordre métabolique.
L’analyse d’urine est normale, une bactériologie sur les urines est envoyée en laboratoire et revient négative.
Une échographie abdominale ne révèle aucune anomalie.
Néanmoins cet examen ne permet pas d’explorer la filière pelvienne dans son entièreté. Un examen d’imagerie complémentaire type scanner de l’abdomen est donc réalisé. L’examen de la filière pelvienne montre une masse sphérique hétérogène de 2,1 cm de diamètre, centrée sur l’urètre (figure 1).

Photo 1 – Coupe sagittale tomodensitométrique de l’abdomen. La mesure montre le diamètre de la masse
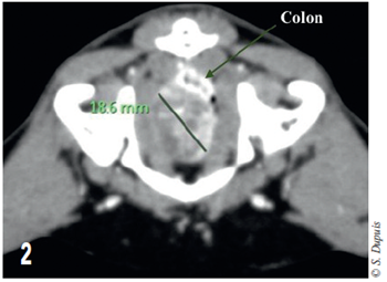
Cette masse déplace le côlon dorsalement à gauche. Elle se trouve à 18 mm de la vessie dorsalement à la symphyse pubienne (figure 2).

Photo 2 – Coupe transversale tomodensitométrique de l’abdomen. Le côlon est déplacé et écrasé dorsalement à la masse
Une urétrographie de contraste positif est réalisée et montre que le produit de contraste injecté se répand dans les cavités de la masse (figure 3).
Suite à cette découverte et dans l’hypothèse d’un phénomène néoplasique, l’examen est étendu au corps entier pour effectuer un bilan d’extension. Le parenchyme pulmonaire est normal. Il n’y a pas de métastase visible ni dans les poumons, nidans les nœuds lymphatiques, nidans les os de la région pelvienne.

Photo 3 – Coupe sagittale tomodensitométrique de l’abdomen. Visualisation du produit de contraste injecté dans l’urètre
Diagnostic
Une affection prostatique est suspectée : tumeur, prostatite ou kyste. Une tumeur urétrale ne peut être exclue et nécessiterait une biopsie difficile à réaliser compte tenu de la localisation. Une cytoponction à l’aiguille fine est difficilement réalisable en raison de la situation de la masse et de son caractère cavitaire communiquant avec l’urètre.
Prise en charge
Dans la mesure où Minou n’est pas en obstruction urinaire, une castration est pratiquée dans un premier temps.Aucune amélioration clinique n’étant observée et les symptômes devenant plus marqués deux semaines après l’intervention, une décision de traitement chirurgical est prise.
Intervention chirurgicale
Minou est prémédiqué à la morphine à 0,05 mg/kg et au midazolam à 0,2 mg/kg puis induit au propofol 4 mg/kg par voie intraveineuse. Il est maintenu par anesthésie gazeuse à l’isoflurane. Un abord abdominal caudal est initié puis étendu par symphysiotomie. Cet abord permet l’accès à la filière pelvienne. Les tissus adjacents à la masse sont ensuite disséqués pour que celle ci soit isolée. La partie de l’urètre située distalement à la masse est ligaturé avec un fil non résorbable en prenant 10 mm de marge (figure 4).

Photo 4 – Mise en évidence de la masse disséquée, abord abdominal caudal associé à une symphysiotomie. A : masse, B : vessie protégée, C : symphysiotomie
Au niveau de l’urètre proximal une marge de 5 mm est retirée avec la masse afin de conserver une portion la plus longue possible. La symphyse pelvienne est ensuite refermée avec des fils résorbables (PDStaille0) passés dans trois trous préalablement forés de part et d’autre de la symphyse. L’urètre est abouché à la peau en avant du pubis sur la ligne blanche à l’aide de points simples résorbables. La peau est enfin suturée avec du fil de nylon (figures 5, 6 et 7).

Photo 5 – Urétrostomie prépubienne: fermeture de la symphyse via les trous préalablement forés.
Photo 6 – Urétrostomie prépubienne : sonde urinaire en place dans la partie préservée de l’urètre proximal.
Photo 7 – Urétrostomie prépubienne : sonde urinaire en place dans la partie préservée de l’urètre proximal.
Suivi
Une analgésie à base de morphine est mise en place. La sonde urinaire est laissée à demeure pour la première nuit postopératoire. Ensuite, elle est retirée et Minou émet des urines par mictions volontaires. Minou est continent.
Notre patient est alors renvoyé chez lui sous anti-inflamatoires (méloxicam) pendant une semaine. Un repos strict est imposé pendant 3 semaines. Le port de la collerette est indiqué pendant cette période.
L’analyse histologique de la masse révèle un adénocarcinome prostatique tubulotrabéculaire avec de larges remaniements inflammatoires et nécrotiques. Il s’agit d’une tumeur maligne, avec un pronostic réservé (figure 8).

Coupe histologique de la masse, adénocarcinome prostatique tubulotrabéculaire.
Un premier contrôle a lieu à 5 jours, Minou est continent selon les propriétaires. Il présente seulement quelques souillures au niveau de l’abdomen et des mictions en flaque. Au retrait des fils à 15 jours, on ne note pas d’incontinence et le malade présente désormais des mictions en jet. Certaines souillures sont parfois visibles mais Minou porte toujours sa collerette et ne peut donc pas effectuer sa toilette.
Au moment de la publication de cet article un contrôle téléphonique a été effectué et confirme que Minou est toujours continent et en bon état général à 2 mois postopératoires.